PeaceBaby

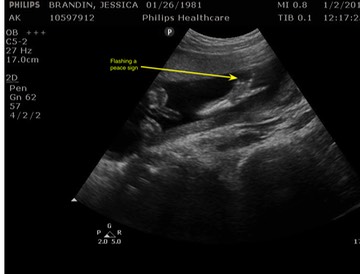
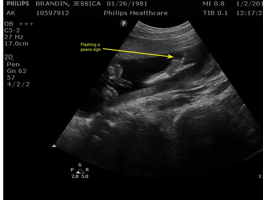
An Early Sonogram—gender not to be seen, but catch the fingers and the V-sign


© Ira Lansing 2015-18